91抖音视频在线观看,成人抖音短视频APP,黄片抖音免费,成人抖音视频APPP在线观看

欢迎光临~广州市91抖音视频在线观看医疗设备股份有限公司
  咨询电话:400-800-8232、13922709440

新闻中心

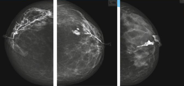
乳腺导管内乳头状瘤乳腺成人抖音视频APPP在线观看检查的价值在哪里呢?

添加时间:2025-03-05 16:32         浏览次数:         来源:

乳腺导管内乳头状瘤分为以下两个,位于乳晕区大导管的中央型乳头状瘤,起源于末梢导管小叶单位的外周型乳头状瘤。外周型乳头状瘤常常没有明显的的临床表现,常因X线或乳腺成人抖音视频APPP在线观看检查发现。重点要关注的是中央型乳头状瘤,发生于任何年龄的女性,以40~50岁者居多。它表现为:单侧乳头溢液,特别是血性溢液少数病人可在乳晕区触及肿块。从病理学上面讲表现为导管上皮和间质增生形成有纤维脉管束的乳头状结构。这是它一个病理学上的表现。它的超声表现为:病变导管囊状扩张呈无回声,内可见乳头状低回声或中等回声。乳晕处的导管扩张,管腔内可见边界清楚的,低回声实性结节。外周型导管内乳头状瘤可,表现扩张为为低回声的实性结节,CDFI:部分肿瘤可显示为轴心性的看到血流信号。乳腺增生症:可见导管扩张,内无乳头状实性回声,导管内乳头状癌:囊内乳头状癌病变较大,不规则,厚基底,血流丰富。以囊性为主的混合回声,形态不规则,内见实性低回声实性低回声可见少量血流,病理为囊内乳头状癌。


乳腺成人抖音视频APPP在线观看检查的价值在哪里呢?它可以检查发现乳晕周围的各种病变,对于单侧乳头溢液、血性溢液的患者,超声是首选的影像学检查方法。注意:导管内乳头状瘤可合并不典型增生或,导管内乳头状癌,手术前怀疑时候,就应该手术切除而不是用微创手术。

导航栏目



联系91抖音视频在线观看

联系人:13922709440 余先生

固 话:86-020-86059537

服务热线:400-800-8232

邮 箱:xianhao266@163.com

公 司:广州市91抖音视频在线观看医疗设备股份有限公司

广州总部地址:广州市黄埔区开源大道188号十三栋1301室

湖北公司地址:湖北省钟祥市经济开发区协企联盟园区C6、C7栋

网站地图